Khắc phục mọi vấn đề về răng
Răng bị ố vàng, xỉn màu
Răng có hình dáng không đẹp, khấp khểnh, không đều
Răng bị thưa, hở kẽ, hô, móm
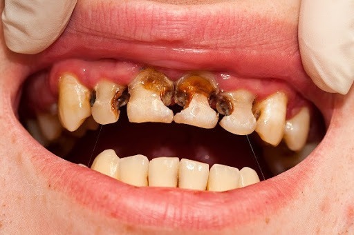
Răng bị gãy, vỡ, sứt mẻ, mất 1 hoặc nhiều răng
Răng bị sâu, viêm tủy, mòn men răng
Răng có bề mặt men bong tróc, nhiễm màu nặng không thể tẩy trắng được
Răng sứ thẩm mỹ là gì?
Cấu tạo của răng sứ thẩm mỹ
- Phần khung sườn: nằm bên trong răng, thường được làm bằng chất liệu kim loại, hợp kim, sứ,…
- Phần bề mặt: thường được phủ một lớp sứ, giúp cho răng trắng sáng, đều màu với các răng thật trên hàm của khách hàng.
Có nên bọc răng sứ thẩm mỹ không?
Bọc răng sứ thẩm mỹ mang rất nhiều ưu điểm cho người sử dụng. Điển hình như:
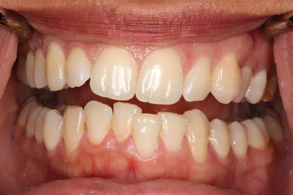
Hiệu quả thẩm mỹ cao
Hiệu quả lâu dài
Đảm bảo an toàn
Quy trình bọc răng sứ tại hải phòng
Tiến hành vệ sinh răng miệng sạch sẽ cho khách hàng. Ví dụ như làm sạch mảng bám, lấy cao răng,…
Thông qua các thiết bị soi chụp tân tiến, các bác sĩ sẽ tiến hành tư vấn phương pháp, kiểu dáng răng phù hợp với khách hàng sao cho hiệu quả mang lại là cao nhất.
Tại sao khách hàng nên lựa chọn dịch vụ của chúng tôi
Với phương châm nụ cười của khách hàng là niềm hạnh phúc của chúng tôi. Hoa Vy Dentist đang ngày một phát triển và nhận được rất nhiều các phản hồi tốt của khách hàng. Nếu bạn có bất cứ thắc mắc gì về dịch vụ làm răng sứ thẩm mỹ, liên hệ ngay Hotline: 0936 612 179 để được tư vấn và báo giá chi tiết nhé. Xin cảm ơn!
Xem thêm:
– Dịch vụ đính đá răng tại Hải Phòng
– Dịch vụ tẩy trắng răng tại Hải Phòng
– Top 10 địa chỉ bọc răng sứ uy tín tại Hải Phòng

